All on 4, Teeth in One Day in Southaven, MS
All-on-4 Implants®
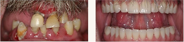
Fixed Teeth in one day

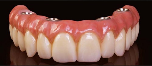
Desoto Dentures and Implants is offering All-On-4® dental implants. Biting into food like an apple, steak, or corn-on-the-cob are completely possible and effortless. The All-On-4® is a screw-retained bridge, supported on as few as 4 dental implants, and replaces an entire arch of teeth. It is the most functional choice and performs like your natural teeth. It is a permanent solution without covering the roof of your mouth, and gives you up to 95% of your chewing ability, compared to traditional dentures.
Why Choose this Treatment?

- Can be done in as little as one day
 - Can be done in as little as one day
 - Replaces All Teeth
 - Feels & Functions like Natural teeth
 - Fixed into placed
 - Eat the food you desire
 - Preserves jawbone
 - Long-term solution that is the best value
 
How do Dental Implants Work?
We want you to have a great understanding of how this technique works to see if it is right for you or someone you know. For starters, you should know what a dental implant is. When one receives a dental implant there is a small titanium screw that replaces the root, part of the missing tooth. The screw fits the inside of the jawbone perfectly. This procedure of placing the screw is considered minor surgery and is required in order to place the implants. When the screw or implant is properly placed into your jaw, we then attach a crown. Aesthetically, you will have a tooth that looks realistic and it is functional for you.
The great thing about All-On-4® dental implants is that you don’t need to place an implant for every single tooth that you are missing. All we will do at Desoto Dentures and Implants for your All-On-Four® implants is give you four to six perfectly placed implants for your top arch and four to six implants on your bottom arch. This is the excitement behind All-On-Four®. Another great benefit of using the titanium implant is that this material comes with the unique ability to fuse. The living bone in your jaw will fuse to the titanium screw. This is great because you will never have to worry about your new pearly whites falling out. Your new smile will be long-lasting, and strong and give you the confidence that this is a permanent fix.
In addition to the fusion that takes place with the implant and your jaw bone, there is another benefit. The fusion prevents any future loss of bone that could possibly happen in the jaw. You will be able to enjoy a more youthful facial structure because of this procedure and don’t forget about better oral health! Will All-On-4® dental implants, you will love all the amazing benefits, but you will most likely be grateful for the quick transformation that comes into your life because of your great smile.

All-On-4® Dental Implant Cost
Desoto Dentures and Implants provides affordable implant treatments for you. All-On-Four® implants is a procedure that we do offer financing for. If you are interested in seeing if you qualify for financing please fill out the credit application on the financing links below. In addition to offering to finance, we will do our best to represent you when working with your insurance company.
Upper and Lower Arch for the All on 4 - $17,499
Full mouth - $35,000
This includes all extractions, as many implants as needed, fixed temporary teeth, and fixed final teeth.
All-On-4® Vs. Traditional Dentures

Timeline expectations for All-On-4® Dental Implants
All-On-4® dental implants can transform your smile into something new in just a few visits.
It is important for you to know that while you may be walking out of our office with a new smile that came about in one day, these arches are only temporary. The implants (titanium screws), were placed surgically, which means that there is a healing that needs to take place and over time they will completely fuse to your jawbone. We will consult you on what the time frame typically is and is estimated on a patient-to-patient basis. Once the healing and fusion are complete, you will return to our office and our team will then replace your temporary teeth with your permanent, customized smile that we designed specifically for you.
Is All-On-4® right for me?
At Desoto Dentures and Implants, we offer all our patients a free consultation. During the consultation, our implant team will perform a Scan. It is through the results of the scan that we determine the need of implants for you, and assist us in creating a customized treatment plan. If you have a desire to learn a little more about all in four dental implants and our course of treatment, call us today and we will schedule your free consultation. This is the best way for you to know how our implant team can transform your life!
Call Desoto Dentures and Implants to schedule your new patient exam!
Frequently Asked Questions All-on-4 / Teeth in One Day
The All-on-4 procedure is a revolutionary dental implant technique that allows for the placement of a full arch of teeth using just four implants. This approach often enables patients to receive a complete set of new teeth in just one day.
During the All-on-4 procedure, four implants are strategically placed into your jawbone. These implants provide a stable foundation for a full arch of prosthetic teeth, which are attached the same day, giving you a brand-new smile in just one visit.
Ideal candidates for All-on-4 are individuals who are missing most or all of their teeth and have sufficient bone structure to support implants. A consultation with your dentist can determine if this procedure is right for you.
Recovery from the All-on-4 procedure is generally quicker than traditional implant methods. Most patients experience some swelling and discomfort for a few days but can resume normal activities shortly after. Full healing and implant integration can take a few months.
Caring for your new teeth after the All-on-4 procedure is similar to caring for natural teeth. Brush twice daily, floss carefully around the implants, and attend regular dental check-ups to ensure your implants remain in excellent condition.
All-on-4 Implants
Snap-In Implant Dentures
Traditional Dentures
Eating
Provides stability and strength similar to natural teeth, allowing for a wide range of foods, including hard and sticky items.
More stable than traditional dentures but may still limit some food choices compared to All-on-4 implants.
Least stable option; may limit food choices and require adjustments to avoid slipping.
Speaking
Allows for natural speech without interference or slippage.
Improved stability helps with clearer speech compared to traditional dentures, though not as natural as All-on-4.
Can affect speech due to movement and lack of support, often requiring practice to speak clearly.
Roof of Mouth Coverage
No coverage of the roof of the mouth, as the implants support the denture, providing a more open feeling.
Typically covers the roof of the mouth, though less extensive than traditional dentures due to the use of implants for support.
Covers the entire roof of the mouth, which can feel bulky and interfere with taste and sensation.
Smiling and Laughing
Offers a natural appearance and secure fit, enhancing confidence when smiling and laughing.
More secure and less prone to shifting, enhancing confidence in social interactions.
May shift or slip, causing discomfort or embarrassment, impacting confidence in social situations.
Comfort
Very comfortable with no movement or shifting, as it is securely anchored by implants.
More comfortable than traditional dentures due to improved stability, but still involves some coverage of the palate.
Generally less comfortable due to movement and bulkiness; may require adjustment over time.
Gagging
Minimal to no gagging issues, as it does not cover the roof of the mouth.
Reduced compared to traditional dentures, but may still cause some gagging due to palate coverage.
Higher likelihood of gagging due to extensive coverage of the palate.
Effect on Bone Loss
Helps prevent bone loss by stimulating the jawbone through the implants.
Less effective than All-on-4 implants in preventing bone loss, as fewer implants are used.
Does not prevent bone loss, as it does not stimulate the jawbone.
Denture Adhesive
No need for adhesive, as the implants securely hold the prosthesis in place.
May still require adhesive for additional stability, though less than traditional dentures.
Typically requires adhesive for stability and to prevent movement.
Visit Our Office
Office Hours
- Monday8:00 am - 5:00 pm
 - Tuesday8:00 am - 5:00 pm
 - Wednesday8:00 am - 5:00 pm
 - Thursday8:00 am - 5:00 pm
 - Friday8:00 am - 12:30 pm
 - SaturdayClosed
 - SundayClosed
 







